Березень 2026
Колектив Radent надав стоматологічну допомогу військовим 82-ї окремої десантно-штурмової Буковинської бригади у мобільному кабінеті. Для нас це не просто волонтерство — це частина того, ким ми є як клініка і як люди.
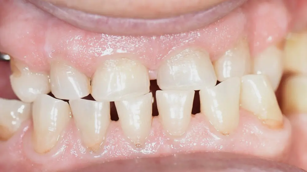
Пацієнтка, 60 років, звернулася зі скаргою на незадовільний стан раніше встановлених імплантатів у фронтальній зоні. Було прийнято рішення про їх видалення та заміну новими імплантатами для досягнення стабільного, функціонального та естетичного результату.
Завдяки точному плануванню та одномоментній імплантації пацієнтка уникнула тривалого періоду без зубів, а кінцевий результат забезпечив естетику та комфорт без компромісів.

Лікар: хірург-імплантолог Віорел Радукан
Кісткова регенерація
Щоб створити міцну основу для імплантату, застосували спрямовану кісткову регенерацію з використанням PRF (фібрину, збагаченого тромбоцитами). Це прискорює процес загоєння та покращує прогноз імплантації.
Мукогінгівальна пластика
Для досягнення природного контуру ясен була проведена пластика м’яких тканин, що забезпечило гармонійний вигляд майбутньої коронки.
Миттєве протезування
Уже в день операції пацієнту встановили протетичну конструкцію, заздалегідь змодельовану перед імплантацією. Фіксація відбулася за допомогою гвинта, що забезпечує стабільність і комфорт.
Резюме
Пацієнт отримав стабільний імплантат та оптимальний фундамент для майбутнього протезування.

Лікар: хірург-імплантолог Віорел Радукан
Делікатне видалення зуба
Щоб уникнути пошкодження кісткової тканини, лікар застосував методику мінімально травматичного видалення, що дозволяє зберегти природну форму лунки.
Підготовка до імплантації
Було проведено санацію області, включаючи усунення вестибуло-апікальної кісти. Одночасно розроблено проєкт майбутньої тимчасової коронки, що дозволило максимально точно спланувати кінцевий результат.
Імплантація з високою точністю
Завдяки навігаційній імплантації імплантат було встановлено у правильному 3D-положенні, що гарантує його надійність та довговічність.
Регенерація кісткової тканини
Для швидкого загоєння та стабільності імплантату застосували спрямовану кісткову регенерацію з використанням PRF (фібрину, збагаченого тромбоцитами).
Миттєве протезування
Уже в день операції пацієнту встановили тимчасову конструкцію, заздалегідь змодельовану перед імплантацією. Фіксація відбулася за допомогою гвинта, що забезпечує стабільність і комфорт.
Контроль та фінальний результат
Через 15 днів після операції проведено контрольний огляд: імплантат добре інтегрувався, ясна загоїлися, а тимчасова коронка мала природний вигляд.
Резюме
Завдяки точному плануванню та використанню сучасних технологій пацієнт отримав естетичне та функціональне відновлення зуба у найкоротші терміни.

Лікар: хірург-імплантолог Віорел Радукан
Імплантація та підготовка тканин
Лікар провів установку шести імплантатів, використовуючи передові хірургічні техніки для кісткової аугментації та регенерації:
— формування правильного напрямку росту кісткових клітин через кортикальну перфорацію;
— використання біоматеріалу BIO OSS та PRF для відновлення кісткової тканини;
— укріплення розсмоктуючої мембрани Geistlich за допомогою спеціальної стабілізації;
— зміщення ясеневого клаптя коронально на 10 мм для покращення естетики та стабільності ясен.
Протезування
Через 7 днів після імплантації пацієнту було встановлено тимчасовий метало-акриловий протез, який дозволив йому звикнути до нової конструкції та оцінити комфорт.
Фінальні етапи
Через 4 тижні лікар провів корекцію профілю ясен, забезпечивши природний контур м’яких тканин навколо імплантів.
Резюме
Пацієнт отримав надійну та функціональну конструкцію, що забезпечує комфорт при жуванні та природний вигляд усмішки. Завдяки комплексному підходу і сучасним методикам вдалося не лише вирішити проблему відсутніх зубів, а й відновити естетику та здоров’я ясен.

Лікар: хірург-імплантолог Віорел Радукан
Видалення зубів та одномоментна імплантація
В один етап проведено видалення проблемних зубів та встановлення дентальних імплантатів Straumann SLActive, що значно скоротило час лікування.
Двостороння субантральна аугментація
Щоб створити достатній об’єм кісткової тканини для надійної фіксації імплантів, проведено підняття дна гайморових пазух із використанням біоматеріалів.
Направлена кісткова регенерація та пластика ясен
Для оптимального загоєння застосовано PRF (збагачений тромбоцитами фібрин), що сприяє природній регенерації тканин. Також проведено пластику ясен, щоб досягти ідеального контуру майбутніх зубів.
Протезування в два етапи
На 7-й день після імплантації за цифровим скануванням була виготовлена та зафіксована тимчасова конструкція, що дозволило пацієнту адаптуватися до нових зубів. На 45-й день виконано повторне сканування для створення постійного протеза. На 59-й день проведено остаточну фіксацію постійної конструкції з умовно-гвинтовим кріпленням, що забезпечує надійність і довговічність.
Резюме
За всього 8 тижнів пацієнтка отримала повноцінну реабілітацію зубного ряду на імплантатах. Завдяки ретельному плануванню та покроковому виконанню всіх етапів вдалося не лише відновити жувальну функцію, а й досягти природної естетики усмішки.

Лікар: хірург-імплантолог Віорел Радукан
Підготовка та імплантація
Перед початком основного етапу було проведено повну санацію ротової порожнини, що є важливим кроком перед дентальною імплантацією. Після цього було встановлено імплантати, які слугуватимуть надійною основою для майбутніх протезів.
Фіксація тимчасової конструкції
Через 22 дні після імплантації пацієнту встановлено тимчасову метало-акрилову конструкцію, яка дозволяє комфортно жувати, говорити та посміхатися, не чекаючи тривалого періоду загоєння.
Резюме
Пацієнт отримав функціональні та естетичні зуби, що значно покращило його якість життя. Окрім фізичного відновлення, цей випадок продемонстрував, як стоматологічна допомога може змінити ставлення людини до свого здоров’я та гігієни.
Воїн повертається на службу з упевненістю та комфортом, знаючи, що його посмішка тепер така ж міцна, як і його дух.

Лікар: хірург-імплантолог Віорел Радукан
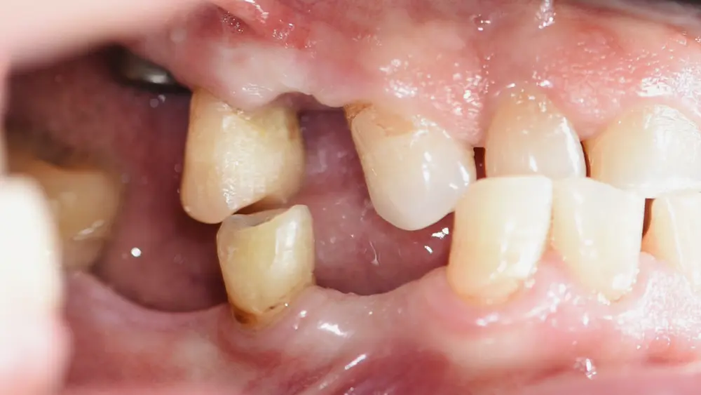
До нас звернувся пацієнт із серйозною проблемою – фрактура кореня переднього зуба, висока лінія усмішки та запальний процес. До того ж, руйнування вестибулярної кісткової стінки ускладнювало вибір методу лікування. Основною метою було не лише встановити імплантат, а й зберегти природний контур ясен і кістки, забезпечивши естетичний результат.
Одномоментна імплантація з точним плануванням
Перед втручанням за допомогою цифрових технологій було виготовлено тимчасову протетичну конструкцію, що дозволило лікарю провести операцію з високою точністю та мінімальною травматизацією тканин.
Видалення зуба та імплантація
Зуб 2.1 було видалено, після чого одразу встановлено дентальний імплантат за допомогою навігаційного шаблону, що гарантує ідеальне положення імпланта у кістці.
Регенерація кісткової тканини та пластика ясен
Були проведені направлена кісткова регенерація (НКР) з PRF для відновлення тканин після видалення зуба та гінгівальна вестибулярна аугментація за допомогою сполучного трансплантату з піднебіння для покращення контуру ясен.
Негайне протезування
Тимчасова коронка з ПММА була зафіксована умовно-гвинтовим способом без контакту з антагоністами, що дозволило зберегти стабільність імплантату під час приживлення.
Фінальне протезування
Через 4 місяці встановлено постійну ортопедичну конструкцію, яка гармонійно поєдналася з м’якими тканинами та забезпечила природний вигляд усмішки.
Резюме
Завдяки використанню цифрового планування та сучасних методик пацієнт отримав естетично довершену усмішку у максимально короткий термін. Одномоментна імплантація дозволила зменшити кількість хірургічних втручань, мінімізувати травматизацію та значно прискорити реабілітацію.

Лікар: хірург-імплантолог Віорел Радукан
Тотальна реабілітація — один із найскладніших сценаріїв у клінічній стоматології. Особливу складність становлять комбіновані випадки, де відновлення проводиться одночасно на природних зубах та дентальних імплантах.
Виклик комбінованого кейсу
На відміну від реабілітації виключно на імплантах або виключно на зубах, комбінований варіант вимагає врахування принципових біомеханічних відмінностей між двома опорами: наявності або відсутності періодонтальної зв'язки, різної амортизації навантаження, відмінностей у пропріоцепції та неоднакової реакції на оклюзійне перевантаження. Ігнорування цих факторів — пряма загроза довговічності конструкції.
Планування та протокол
Перед початком лікування проведено детальний аналіз оклюзії, розподілу навантаження та стану опорних тканин. Лише після цього сформовано хірургічно-протетичний протокол, що враховує індивідуальні особливості пацієнта.
Результат
Пацієнт отримав повноцінно функціональну та естетичну реабілітацію, де кожна опора — і зуб, і імплант — працює в межах своїх біомеханічних можливостей. Збалансована оклюзія та грамотний розподіл навантаження забезпечують довгостроковий прогноз конструкції.

Лікар: хірург-імплантолог Віорел Радукан

Зубні імплантати — це титанові гвинти, які стоматологи-хірурги в усьому світі використовують як постійне розв'язання проблеми відсутності зубів.
Якщо вам не вистачає одного чи декількох зубів або навіть коли клінічна ситуація вимагає повноцінної реабілітації рота, наш хірург і імплантолог Віорел Радукан із командою запропонують рішення для лікування та імплантації.
Пройдіть короткий тест — і ми зорієнтуємо вас щодо термінів і вартості
Імплантологічні та хірургічні роботи наших лікарів.

Ви познайомитеся з нашими лікарями, а вони розглянуть вашу клінічну ситуацію, проконсультують і запропонують найкращий варіант із термінами та вартістю
Новини про діяльність Radent на сторінках медіа.
+380 (99) 270 33 22 — з питань імплантації та хірургії,
+380 (68) 270 33 22 — з усіх інших питань
м. Чернівці, вул. Чорноморська, 4А
Пн-Пт: 9—19, Сб: 9—14